Problèmes DENTAIRES
traitements préventifs, conservateurs et orthodontiques
Une fente labiale, alvéolaire (maxillaire) et/ou palatine peut affecter la denture de diverses manières. Les dents de lait et les dents permanentes peuvent être altérées dans leur forme, leur dimension, leur nombre et leur position. Le plus souvent, ce sont les dents situées dans le voisinage direct de la fente qui sont affectées: les incisives. La fente alvéolaire se situe en général à l'emplace-ment de la future canine et de l'incisive latérale.
Les séquelles dentaires d'une FLMP affectent l'esthétique
et la fonction masticatoire du patient. Le traitement de ces séquelles
constitue donc pour le patient et ses parents une priotité absolue,
à laquelle l'orthodontiste et le chirurgien maxillo-facial de l'équipe
contribuent activement.
L'efficacité de leurs soins dépend d'une
parfaite coordination et planification, tenant compte des besoins exprimés
par le patient, mais également de facteurs liés à
sa crois-sance et à son développement craniofacial. En d'autres
termes, toute intervention doit s'imposer en raison de son utilité
et des bénéfices à long terme qu'elle peut apporter
au patient. Le traitement orthodontique, qui peut être long, ne doit
pas être commencé trop tôt, afin de ne pas lasser
le patient, dont la coopération sera indispensable durant les ultimes
phases du traitement, c'est-à-dire vers la fin de sa croissance.
L'incisive latérale peut être absente (on parle d'agénésie). Au contraire, elle peut se dédoubler et il y a une dent surnuméraire. Certaines dents dans la région de la fente présentent une mal-formation de la couronne, avec par exemple des anomalies de la minéralisation ou de la calcification de l'émail (couche superficielle de la dent), donnant un aspect irrégulier de la surface ou se manifestant par des taches brunâtres. On parle d'hypoplasie de l'émail (Fig.2).
Fig.2
Les dents antérieures (incisives, canines) (Fig. 3-4) font souvent leur éruption dans une position anormale et peuvent présenter un degré de rotation (o) plus ou moins important, une inclinaison anormale et/ou être en relation d'articulé croisé (x) avec leurs antagonistes de l'arcade dentaire inférieure.
Fig.3
La présence d'une fente faciale perturbe l'harmonie de l'arcade dentaire par son influence défavorable sur la formation des dents, sur leur éruption et leur position ultérieure. Les cicatrices qui résultent, inévitablement, de la fermeture chirurgicale du palais, de l'alvéole et de la lèvre, influen-cent de manière négative la croissance future de la mâchoire supérieure, de l'arcade dentaire et, finalement, la position des dents.
Fig.4
La malformation du complexe naso-labio-maxillaire présente à la naissance et les cicatrices résultant des premières opérations chirurgicales peuvent causer une inhibition (frein) de la croissance de la mâchoire supérieure, dans les trois dimensions de l'espace:
1) dans le sens de la largeur (arcade trop étroite); le patient présentera un articulé croisé (arcade dentaire supérieure trop étroite).
2) d'arrière en avant (projection insuffisante de l'étage moyen de la face ou, en d'autres termes, mâchoire supérieure restant un peu trop "en retrait"). On parle d'une hypoplasie ou rétrognathie maxillaire ou d'une pseudo-prognathie mandibulaire (Fig.5), c'est-à-dire que la mâchoire supérieure (dont la croissance est inhibée) aura une projection insuffisante par rapport à la mâchoire inférieure, dont la croissance est normale.
3) dans le sens vertical. On aura dans ce cas une béance dentaire (absence de contacts entre les dents).
Fig.5
Les techniques chirurgicales modernes et l'expérience de notre équipe chirurgicale ont toutefois permis, ces dernières années, une nette amélioration du pronostic de croissance du maxillaire supérieur chez ces enfants, en premier lieu grâce à une réduction significative du tissu cicatriciel grâce à des techniques moins traumatiques.
Moins de cicatrices signifient une meilleure croissance
de la mâchoire et une plus grande harmonie de l'arcade dentaire.
Mais le besoin futur d'une correction orthodontique reste toujours très
grand. En réalité, pratiquement tous les enfants ou adolescents
ayant présenté une fente faciale auront besoin, à
un moment ou à un autre, d'une correction orthodontique, c'est-à-dire
d'un traitement à l'aide d'appareils dentaires.
Soins dentaires proprement dits
Comme tous les enfants, celui qui présente une fente labiale/alvéolaire/palatine aura besoin de soins dentaires préventifs et, parfois, conservateurs (obturations, soins de caries). C'est pourquoi une évaluation précoce par un dentiste généraliste, familier des problèmes particuliers pouvant affecter la denture de votre enfant, est recommandée. Cette évaluation peut être faite par l'orthodontiste ou par votre médecin-dentiste traitant.
Soins préventifs (prophylaxie): avec des soins adéquats, votre enfant pourra jouir d'une denture saine. Ces soins consistent en une hygiène bucco-dentaire correcte, une alimentation équilibrée et un apport fluoré suffisant (Fluor dans le sel dans le canton de Vaud).
Dès qu'apparaissent les dents de lait, il faut commencer à les brosser régulièrement, avec une brosse souple ("soft"), afin d'habituer votre enfant aux soins d'hygiène réguliers. Là encore, votre médecin-dentiste et/ou votre orthodontiste pourra vous conseiller.
Les contrôles de routine chez l'orthodontiste ont
lieu à l'âge de 6-8 mois, puis à 12-18 mois, puis,
régulièrement tous les 18 mois c'est-à-dire à
l'âge de 3 ans, 4 ans et demi, 6 ans etc...Votre enfant sera donc
suivi tout au long de sa croissance et de son développement par
l'ortho-dontiste ainsi que par les différents spécialistes
du team et par l'équipe au complet lors des colloques pluri-disciplinaires
organisés périodiquement. (cf. bulletin # 0).
Soins orthodontiques
En général, un traitement orthodontique actif n'est pas recommandé en denture de lait. Il n'est en effet pas utile de corriger des malpositions de dents destinées à être remplacées relativement tôt. Par contre, des contrôles réguliers sont recommandés afin de suivre l'évolution de votre enfant, de surveiller l'apparition de problèmes éventuels et, enfin, de vous informer et répondre à vos questions.
La première échéance "sérieuse"
concerne la décision de réaliser une greffe osseuse alvéolaire
pour combler la fente de l'arcade dentaire, si votre enfant a eu une fente
maxillaire. Cela ne concerne ni les fentes labiales ni les fentes palatines
isolées.
(cf. bulletin # 1 et # 3).
Le but de cette greffe est de combler la fente alvéolaire, afin de "souder" les deux ou trois parties du maxillaire, selon que la fente ait été uni- ou bi-latérale.
Les dents permanentes et, notamment, la canine, pourront faire une éruption plus normale lorsque le maxillaire sera "en un morceau". De plus, même si les dents ont "poussé de travers", il sera possible de les redresser à l'aide d'un appareil. Sans cette greffe, il n'y aura pas d'os dans la fente. Et sans os, il ne peut pas y avoir d'implantation dentaire correcte. La greffe permet en définitive de normaliser l'arcade dentaire et d'offrir un "terreau" suffisant pour le développement et la stabilité des dents de la région, dents dont les racines doivent pouvoir disposer d'un environnement osseux solide.
Avant cette opération, si l'arcade dentaire présente une asymétrie ou est un peu étroite, ou proposera une courte période de traitement orthodontique consistant à régulariser la forme de l'arcade dentaire (en l'élargissant avec un ressort intra-buccal appelé Quadhelix, Fig.6) avant de la consolider définitivement avec l'os greffé.
Fig.6
Correction orthodontique définitive
Les incisives, même en malposition, ne seront pas alignées avant la greffe, sauf cas exceptionnel.
Si cela s'avère néces-saire ou à la demande de l'enfant, une correction des malpositions des dents antérieures, dans un but purement esthétique, pourra être entreprise, mais seulement après la consolidation de la greffe (au plus tôt deux mois après l'intervention).
L'os spongieux nécessaire à cette greffe est prélevé dans la crête iliaque (os de la hanche). A cet endroit, on dispose d'une source d'os de qualité et en quantité suffisante. Il s'agit d'une auto-greffe. Il n'y a donc jamais de rejet et la greffe, réalisée par le chirurgien maxillo-facial de l'équipe (le Dr. B.Jacques), offre un taux de réussite extrêmement élevé, particulièrement si elle est réalisée au bon moment.
Ce moment est choisi par l'orthodontiste et le chirurgien maxillo-facial. Un bilan radiographique permet de décider du "timing". Il se situe en général entre l'âge de 9 et 10 ans.
Des renseignements plus détaillés et individualisés vous seront fournis par les membres de l'équipe concernés. En règle générale, on peut dire qu'il s'agit une intervention relativement brève (environ une heure). L'hospitalisation est généralement de courte durée (2-3 jours). Les suites opératoires sont simples: il n'y a quasiment jamais de douleurs dans la bouche; par contre, le patient peut ressentir quelques douleurs à l'endroit du prélèvement de l'os de greffe (la hanche) douleurs qui s'estompent après quelques jours.
Après cette intervention, on se contente, en général, d'observer l'évolution jusqu'en denture permanente. Le patient aura droit à une période de repos orthodontique bien méritée avant d'"attaquer" la dernière ligne droite, c'est-à-dire la correction et l'alignement dentaire définitif, en denture permanente.
Correction orthodontique définitive
Elle commence rarement avant l'âge de 12 ans et peut avoir une durée très variable. La difficulté de la correction dans certains cas peut entraîner un traitement relativement long.
Suivant le degré de gravité des malpositions dentaires, l'importance de la déformation de l'arcade supérieure, ainsi que la sévérité de l'anomalie des relations entre la mâchoire du haut et la mâchoire du bas, on optera pour des types d'appareils et des alternatives thérapeutiques différentes.
Si les rapports entre la mâchoire du haut et la mâchoire du bas sont harmonieux et que les défauts sont avant tout la conséquence de malpositions dentaires, les appareils orthodontiques conventionnels pourront résoudre le problème. On peut alors parler d'un traitement orthodontique "normal", pratiquement similaire à un traitement chez un enfant n'ayant pas eu de fente à la naissance mais qui nécessite quand même une correction orthodontique fonctionnelle ou esthétique.
Fig.7
Par contre, dans certains cas (Fig.5 et 7), la mâchoire supérieure présente un degré de déformation plus grave. Il en résulte une relation dysharmonieuse entre les mâchoires (et donc, entre les dents du haut et celles du bas). Cette dysharmonie peut s'accentuer avec la croissance. Dans ces cas plus difficiles, une approche purement orthodon-tique sera insuffisante et le recours à une intervention de chirurgie maxillo-faciale s'imposera (on peut en apprécier le résultat sur la Fig.8).
Fig.8
Les détails de cette chirurgie, planifiée, préparée et réalisée de manière individua-lisée, dépassent le cadre de ce bulletin d'information, qui doit conserver un caractère généraliste. Disons qu'en règle générale, le chirurgien est souvent appelé à avancer le maxillaire supérieur et, parfois, à reculer la mandibule afin de permettre une réhabilitation fonctionnelle et esthétique du complexe cranio-facial dans son ensemble (et pas uniquement des dents). C'est ce qui a été réalisé chez ce patient (Fig.7,avant l'opération; Fig.8, après).
Le traitement combiné orthodontique-chirurgical se déroule en trois phases:
1) préparation des arcades dentaires à
l'aide
d'appareils orthodontiques fixes ("bagues").
Durée variable, de 2 à 3 ans, suivie
de
2) correction chirurgicale, et enfin
3) finitions orthodontiques.
Comme on le voit, ce traitement combiné est long
et difficile, et on préfèrera commencer le traitement orthodontique
plus tard, puisque la correction chirurgicale ne peut se faire que vers
la fin de la croissance du patient.
Les Fig. 9 à 12 illustrent les problèmes,
parfois complexes, que peuvent poser certaines malocclusions et les possibilités
thérapeutiques offertes par un traitement combiné lorsqu'il
est indiqué.
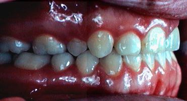
Cette malocclusion illustre une partie de la gamme habituelle des séquelles d'une fente labio-maxillo-palatine:
articulé croisé latéral et antérieur
agénésie d'une incisive latérale
position ectopique d'une canine
asymétrie générale de l'arcade.

Fig.10
Les Fig.9 et 10 montrent la situation avant le traitement orthodontique.
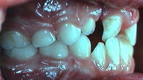
Les Fig.11 et 12, le résultat obtenu après un traitement orthodontique combiné à une intervention de chirurgie maxillo-faciale.
Fig.11
Il est à noter que cette intervention a été rendue nécessaire en grande partie parce que la patiente n'avait malheureusement pas pu bénéficier, à l'époque, d'une greffe osseuse alvéolaire. Cela a eu des consé-quences défavorables sur le développement de son arcade dentaire.
Fig.12
En guise de conclusion, il faut insister sur le fait que chaque cas présente des particularités, des différences pouvant être considérables même avec un diagnostic initial semblable. Cette grande diversité influencera, bien entendu, le plan de traitement.
Pourtant, de nombreuses analogies existent, qui permettent
un certain nombre de généralisations. Mais il se peut que
le contenu de cet article ne corresponde pas tout à fait au
cas de votre enfant. N'hésitez pas à nous en faire part et
à demander des précisions plus individualisées dans
ce cas.