La fente alvéolaire :
Parmi les séquelles des fentes labio-maxillo-palatines, celles qui touchent la région alvéolaire (maxillaire) affectent de manière spécifique les dents, depuis leur formation jusqu'à leur éruption, ainsi que le dévelop-pement et la qualité de leurs tissus de soutien.
Dans la région concernée (comprise entre l'incisive et la canine), l'absence d'os aura des répercussions négatives sur la dentition et la qualité du support parodontal (tissus de soutien de la dent). Il est extrêmement important d'y remédier en agissant au moment opportun, afin de minimiser ces séquelles et permettre un développement dentaire harmonieux.
La greffe osseuse alvéolaire, dont il est question dans cet article, représente une étape décisive et indispensable de la réhabilitation dentaire des jeunes patients présen-tant ce type de malformation.
Cet article illustre pour vous les diverses facettes de la greffe osseuse alvéolaire, pour en démontrer les avantages à l'aide de documents radiographiques et photographiques.
Traitements orthodontiques
Denture de lait (jusqu'à 7 ans environ):
Les malpositions dentaires diverses que l'on rencontre en denture lactéale, même si elles peuvent être sévères - ce qui n'est pas le cas sur laphoto ci-dessous,
Fig.1
ne sont en principe pas corrigées car le caractère transitoire de ce stade de la dentition rend tout traitement inop-portun. Nous voulons éviter de solliciter trop tôt la coopération du jeune enfant en lui imposant un appareillage qui n'est, le plus souvent, pas indispensable.
Nous nous contentons d'une surveillance de l'évolution, par des contrôles tous les 18 mois environ.
Nous nous limitons à prodiguer des conseils aux parents et à les rendre attentifs aux soins d'hygiène bucco-dentaires indispen-sables et cela, dès le plus jeune âge.
Denture mixte (7 à 12 ans)
Chez les enfants présentant les séquelles d'une fente labio-maxillaire uni- ou bi-latérale, la priorité, en denture mixte, est de favoriser une harmonisation spontanée de l'arcade, dans la mesure du possible sans appareillage lourd.
L'essentiel de notre préoccupation, au niveau dentaire et orthodontique, tourne autour de la préparation et de la planification de la greffe osseuse alvéolaire, inter-vention prioritaire chez ces jeunes patients.
Denture permanente
Les traitements orthodontiques en denture permanente couvrent un chapitre en soi et nous vous présenterons un aperçu des problèmes orthodontiques et de leurs solutions dans un article séparé. Chaque cas présente des difficultés particulières et nécessite un traitement individualisé, parfois long et difficile.
On peut toutefois affirmer que le traitement sera toujours plus facile et donnera de meilleurs résultats lorsqu'une greffe osseuse alvéolaire aura pu être réalisée au bon moment et par une chirurgien maxillo-facial spécialisé. Le succès de la greffe en dépend.
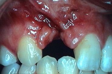
Malheureusement, on rencontre encore des patients qui n'ont pas pu bénéficier de cette intervention, faute de coordination ou de compétences: la Fig.2 vous illustre cette situation difficile, où l'absence de greffe osseuse se fait cruellement sentir. Il n'est pas possible de rapprocher les dents adjacentes à la fente et une reconstruction à l'aide d'un implant n'est pas non plus possible, à cause de l'absence d'os et de la persistance d'une fente alvéolaire large. La patiente est malheureusement "condamnée" au port d'une prothèse amovible, car même un pont ne pourra pas être réalisé dans ces conditions!
Fig.2
Greffe osseuse alvéolaire
Quand et pourquoi doit-on planifier une greffe osseuse alvéolaire ?
Pour déterminer l'âge idéal pour cette opération, on réalisera des contrôles radiographiques dès l'âge de 8 à 9 ans. L'âge auquel doit se faire la greffe peut varier d'un cas à l'autre. Cela dépend surtout du stade d'évolution dentaire, propre à chaque enfant: dans la plupart des cas, la greffe est réalisée vers l'âge de 10 ans.
Sur la radiographie ci-dessous (Fig.3), on peut voir une fente alvéolaire (X) résiduelle, assez large, sans os (zone +sombre), entre l'incisive centrale et la latérale. On voit aussi l'incisive latérale*, de forme anormale conoïde. Canine** et prémolaire*** sont encore haut placées, au-dessus des dents de lait.

On notera enfin aussi, sur cette radiographie, l'ano-malie de la structure de l'émail de l'incisive centrale: il s'agit d'une hypoplasie de l'émail (cercle blanc, aussi sur Fig.4), autrement dit une anomalie de la minéralisation (calcification) de la couche superficielle de la dent (l'émail). Cette anomalie est fréquemment associée aux fentes alvéolaires (uni- ou bi-latérales).
Pourquoi une greffe ?
On est en période de denture mixte; le patient est âgé de 9 ans. C'est le moment idéal pour planifier la greffe osseuse: celle-ci doit se faire impérativement avant l'éruption de la canine permanente. Grâce à l'apport d'os de greffe, la canine pourra faire son éruption dans un environnement osseux normalisé. Au cours de son éruption, cette dent contribuera activement à l'intégration de la greffe en stimulant son organisation et son remodelage (voir Fig.7 à 12).
Avant l'intervention, il faudra déterminer si un traitement orthodontique préliminaire est nécessaire. S'il l'est, c'est en général à cause de la présence d'un articulé dentaire croisé: on voit (Fig.4) les dents de l'arcade supérieure (du côté de la fente) s'articuler à l'intérieur (flèches) par rapport aux dents de l'arcade inférieure.

L'articulé croisé résulte d'une croissance de l'arcade supérieure insuffisante dans le sens transverse (en largeur). Cette insuffisance est causée par la présence de tissu cicatriciel. Ce tissu cicatriciel constitue l'une des séquelles des premières opérations de fermeture de la fente durant la prime enfance (Fig.5, zone cerclée en noir).

Les techniques chirurgicales, perfectionnées ces dernières années (entre autres, par le Prof. R. Malek, Paris) et appliquées par la Dresse. J. Hohlfeld, chirurgienne pédiatrique du team, se sont révélées moins traumatiques
que celles utilisées par le passé. Elles provoqueront ainsi moins de séquelles cicatricielles, sans qu'il soit toutefois possible, malheureusement, d'éviter toute cicatrice résiduelle.
Ces cicatrices sont responsables de tensions sur le palais durant son développement. La croissance du palais peut en être plus ou moins affectée (ralentie), suivant l'ampleur de ces tensions cicatricielles. Un articulé croisé en est, souvent, la conséquence dentaire.
Avant de "souder" , avec une greffe osseuse, les deux segments du maxillaire séparés par la fente alvéolaire, on aura donc parfois avantage à tenter une expansion palatine à l'aide d'un appareil comme le QUADHELIX (ressort fixé sur deux bagues, Fig.6) ou une plaque palatine avec vérin, suivant les cas.

Parfois, enfin, une attelle en résine acrylique doit être fixée sur les dents de l'arcade supérieure, après la pose du greffon, afin de stabiliser les segments du maxillaire.
Cela est nécessaire surtout dans les cas de fentes bilatérales, où le segment antérieur (prémaxillaire) est très mobile. Il faut absolument le stabiliser afin de permettre une bonne calcification et une complète intégration de l'os greffé. On laisse cette attelle en place (cimentée, donc fixe) environ 6 semaines. En présence d'une fente unilatérale, si on a du réaliser une expansion palatine, une attelle est parfois aussi recommandée.
Grâce à la greffe, la canine permanente sera en mesure de faire son éruption spontanée sur l'arcade et elle bénéficiera d'un environnement osseux normalisé, son alignement orthodontique sera possible et, plus important encore, les perpectives de stabilité à long terme de cette dent et de ses voisines seront sensiblement améliorées.
Les radiographies ci-dessous montrent l'évolution de la fente alvéolaire avant et après la greffe, ainsi que la progression et l'éruption de la canine permanente:

Fig.7
: à l'âge de 9 ans environ, la fente alvéolaire est bien visible: il n'y a pas d'os entre l'incisive centrale et la latérale (conoïde). On est en période de denture mixte (les incisives et les premières molaires permanentes sont présentes, mais les canines et molaires de lait sont encore sur l'arcade dentaire).Fig.8
: la greffe a été réalisée et l'incisive conoïde extraite pour permettre l'éruption de la canine, pour laquelle la place aurait manqué.Fig.9
: l'os greffé s'est intégré: un an après l'intervention, on peut voir l'évolution de la canine dans un environnement osseux normalisé.Fig.10
: la canine a pratiquement émergé, la canine de lait a perdu sa racine par résorption.Fig.11
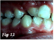
: la canine de lait a disparu, la permanente est sur l'arcade mais devra encore être alignée (voir les photographies du même patient, pages suivantes).En résumé et en conclusion, les avantages apportés par la greffe sont les suivants:
1) La continuité de l'arcade dentaire est rétablie et sa stabilité assurée.
2) La canine permanente peut faire son éruption dans un os normalisé. (Fig.12). Elle pourra être redressée, alignée (Fig.13) et rapprochée des dents voisines en conservant un support osseux normal (Fig.10 & 11).


3) La dépression labiale que l'on déplore parfois au niveau de la fente, est réduite du fait du comblement de la fente. Le support de l'aile du nez (narine) est amélioré et l'asymétrie minimisée.
4) La canine permanente remplace avantageusement une incisive conoïde lorsque celle-ci a du être extraite. Une simple coronoplastie à l'aide de résine composite esthétique suffira à donner à la canine (de forme plutôt triangulaire) la forme d'une incisive, normalement plus "carrée".
5) Enfin, last but not least, la greffe permet le plus souvent d'éviter une reconstruction prothétique ou, lorsque celle-ci est tout de même nécessaire, elle permet la réalisation de reconstruction sur implant, une technique désormais éprouvée et offrant de grands avantages esthétiques et fonctionnels au patient.
S'il reste nécessaire d'adapter tout plan de traitement à chaque cas particulier, le principe de la nécessité et de l'utilité de la greffe, lui, est universellement accepté. L'immense majorité des centres et des équipes de soins à travers le monde l'a reconnu et pratique cette greffe systématiquement, de la manière qui est décrite dans cet article et dans les mêmes buts. L'expérience de milliers de cas traités ainsi a prouvé l'efficacité et les avantages de la méthode sur la santé dentaire, la qualité des traitements orthodontiques et, ce qui est essentiel: le pronostic à long terme.
...quelques définitions:
fente alvéolaire
: malformation congénitale du maxillaire, le divisant en 2 ou 3 segments (fente uni- ou bi-latérale).crête iliaque
: partie supérieure de l'os de la hanche, offrant une source abondante d'os spongieux, de qualité idéale pour la greffe alvéolairegreffe osseuse
: auto-transplantation d'os spongieux, prélevé dans la crête iliaque et destiné à combler la fente alvéolaire. Cette intervention est réalisée par le chirurgien maxillo-facial du team (Dr. B. Jaques). Elle nécessite une courte hospitalisation (environ 3 jours).incisive conoïde
: dent antérieure malformée, en forme de grain de riz.expansion palatine
: élargissement de l'arcade dentaire supérieure à l'aide d'un appareil